During a computed tomography (CT) scan of a child mummy belonging to a youngster who lived in ancient Egypt, archaeologists found something unique and most unexpected. The imagery they obtained revealed evidence of a pus-filled and bandaged wound on her right lower leg, indicating the small girl had died from some type of infection.

Photograph of ancient Egyptian child mummy from the Tomb of Aline, discovered in Hawara. (Panzer et. al / International Journal of Paleopathology)
A New Child Mummy Research Project
As part of a new research project, an international team of archaeologists from Germany, Italy, and the United States performed whole-body CT scans on the well-preserved mummified remains of 21 ancient Egyptian children. The researchers gained access to the mummies through the cooperation of museums in Germany, Italy, and Switzerland, which had them on display.
- Child Mummy Unlocks a Secret by Unravelling 450 Years of the Hepatitis B Virus
- Egyptian Child Mummy Dumped in Garbage in France, Now Restored and Protected
The children ranged in age from one to 12 to 14 years old at the time of their deaths, with about half being aged four years or younger. These mummies had all been dated to the latter stage of ancient Egyptian civilization, specifically to the Ptolemaic Period (332 to 30 BC) and the Roman Period (30 BC to 395 AD) when Egypt was occupied by foreign powers.
In total, three out of the 21 children showed signs of skin lesions and infection. But only the one girl, who was no more than four when she died, had a bandage still attached to the skin over her wound. Writing in the International Journal of Paleopathology, the researchers referred to their study as “the first to describe radiologically visualized structures consistent with dried pus in ancient Egyptian mummies. This study also appears to be the first to physically demonstrate an original ancient Egyptian dressing.”

Contents of the Tomb of Aline on display at the Neues Museum in Berlin, Germany, including two child mummies with their mummy portraits on the right. (José Luiz Bernardes Ribeiro / CC BY-SA 4.0)
Insight into Ancient Egyptian Medical Practice
Each of these fresh discoveries provides an insight into ancient Egyptian medical practices. “It gives us clues about how they treated such infections or abscesses during their lifetime,” Albert Zink, a study participant who heads to Institute for Mummy Studies in Bolzano, Italy, told Business Insider. “It was really exciting because we didn't expect it. It was never described before.”
The girl’s mummy was one of eight recovered from the Tomb of Aline, which was unsealed in 1892 by German archaeologist Richard von Kaufmann in the Faiyum Oasis southwest of Cairo. The tomb was named after one of its occupants, a woman who was referenced in the tomb’s inscription. Her mummy was buried alongside those of two female children who were believed to be her daughters. The little girl with the wound was one of these.
Because of some imprecision in the inscription, it was impossible to date the mummies exactly. But clues found in the text and in the tomb indicate the people in the mass grave lived during Egypt’s Roman Period, in either the first or second century AD. These individuals probably died separately and were likely mummified and buried at different times, and may have all belonged to the same family.

The two child mummy coffins, including mummy portraits, representing the two daughters of Aline on display at the Neues Museum in Berlin. (Osama Shukir Muhammed Amin FRCP / CC BY-SA 4.0)
Revealing the Methods of Ancient Egyptian Doctors
Surviving papyrus texts reveal that practitioners of ancient Egyptian medicine didn’t necessarily understand the specifics of what caused infection and disease. But through trial and error, and observation, they accumulated a lot of knowledge about how to treat various illnesses and injuries.
The bandages used to protect the young girl’s wounds were identified while the archaeologists were carrying out routine CT scans of her body. These scans are used to complete so-called “virtual un-wrappings” which can reveal many details about the physical characteristics and condition of mummified individuals, which otherwise could only be discovered if the mummy’s coverings were completely removed.
Ideally, Zink would like the opportunity to examine the young girl’s wounds more thoroughly, in part to learn more about the medical treatment procedures the Egyptians used. “It's very likely that they applied some specific herbs or ointment to treat the inflammation of this area,” Zink speculated. “If the bandage was put on her leg before she died, it would have been done in conjunction with this type of treatment, which would have been designed to counteract the infection.”
Obviously, whatever killed the girl was serious enough that the treatment she received was not enough to save her life. The primary purpose of examining the wound more closely would be to identify the disease, injury, or condition that caused her condition, and ultimately her demise.
Because of the damage it would cause, unwrapping the mummy completely to get at the wound is not an option. As an alternative, Zink is hoping to use a biopsy needle to take a sample from the wound area, since this procedure would not require any intervention beyond the insertion and withdrawal of the needle.

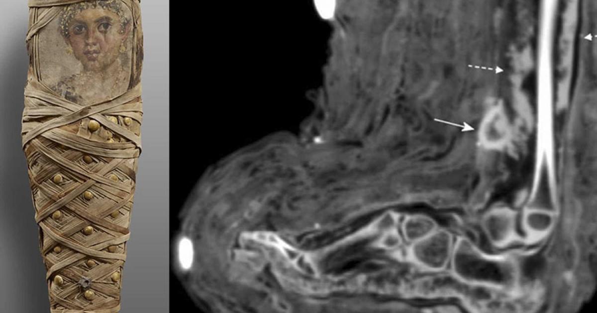
CT scans of soft tissue infection in the lower leg of the child mummy. The scan reveals a mass consistent with dried pus (indicated with dotted arrows) below the bandage. (Panzer et. al / International Journal of Paleopathology)
Why Was This Medical Find So Unusual?
Archaeologists and Egyptologists had never seen such bandages before on any mummy, and that calls out for an explanation. It is possible that other mummies may have contained similar dressings over wounds. But because the linen resembled the wrappings of the mummies so closely, the linen bandages may have been overlooked or misidentified in examinations.
Another possibility is that bandages didn’t usually survive the mummification process, which would make this discovery an anomaly unlikely to be repeated very often. It could also be the case that the embalmers actually put the dressing on themselves, even though the girl had already died and doing so would serve no practical purpose.
- The Liber Linteus: An Egyptian Mummy Wrapped in a Cryptic Message
- CT Scan Conducted on 2,000-Year-Old Mummy Reveals the Cancer that Killed Him
This might have been done at the request of the girl’s parents, assuming they expected her life to continue in the realm of the dead. “Maybe they tried somehow to continue the healing process for the afterlife,” Zink suggested when speaking of their explorations of the child mummy.
At any rate, now that such bandages on a child mummy’s body have been found once, archaeologists and Egyptologists will be on the lookout for more of them from now on. If they were missed before, that will be less likely moving forward.
With Mummies, the Surprises Just Keep Coming
Ancient Egyptian mummies have delighted many generations of scientists. This is a credit to the civilization that perfected the embalming techniques used to create them. In fact, the ancient Egyptians did such a good job of preserving these bodies that in-depth examinations frequently reveal unexpected details, which would never be found in the skeletal remains of un-mummified bodies recovered from the ancient burial sites of other civilizations. “There's always some surprises when we study mummies,” Zink marveled. “I have now studied, I don't know how many mummies in my scientific career, but there's always something new.”
Top image: On the left, photograph of ancient Egyptian child mummy from Tomb of Aline, discovered in Hawara. On the right, CT scan of soft tissue infection in the lower leg, showing a mass consistent with dried pus. Source: Panzer et. al / International Journal of Paleopathology
By Nathan Falde

